歯肉ピーリング
「歯肉の着色、気になりませんか?」
ピーリングの流れ
当医院の某技工士がピーリングに挑戦!
某技工士談
「ピーリングをする前は歯肉が黒いのが気になって、笑うことにコンプレックスを感じていました。
でも、ピーリング治療の後は、見違えるほど綺麗になって自信がもてるようになりました!」

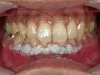
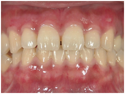
1.歯肉着色状態

2.歯肉処置直後

3.歯肉処置1日目

4.歯肉処置4日後
治療価格について
片顎のみ 3,300円(税込)
上下顎 6,600円(税込)

「ピーリングをする前は歯肉が黒いのが気になって、笑うことにコンプレックスを感じていました。
でも、ピーリング治療の後は、見違えるほど綺麗になって自信がもてるようになりました!」

1.歯肉着色状態

2.歯肉処置直後

3.歯肉処置1日目

4.歯肉処置4日後
片顎のみ 3,300円(税込)
上下顎 6,600円(税込)
お探しの情報は何ですか?


〒750-0016
山口県下関市細江町1-3-2
TEL
083-231-1182
E-mail info@kato.or.jp
受付時間(日曜・祝日定休)
平日/午前9:00~ 午後6:30
木曜・土曜/午後1:00まで