ホワイトニング
ホワイトニングとは?
歯は嗜好品や加齢によって次第に色が着き、黄ばんでしまいます。ホワイトニングとは、きちんと清掃していても生活するなかで自然に着色してしまう色素を分解・除去し、歯を白くする方法です。 かつては歯を削ってセラミックをかぶせたり、差し歯にすることでしか歯を白くできませんでしたが、ホワイトニングでは歯科専用のホワイトニングジェルで、歯を痛めず浸透させながら内部の色素を分解し、自分の歯を白くすることが可能になりました。
※ホワイトニングの効果には個人差があります。
24歳女性の場合

ホワイトニング前 ホワイトニング材を
注入したトレーを装着 ホワイトニング2週間後(1日2時間)
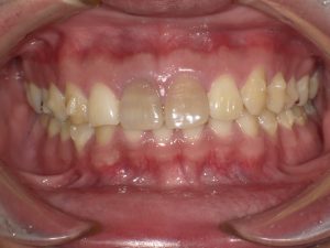
70歳女性の場合

ホワイトニング前 トレーを装着して
そのまま2時間 ホワイトニング2週間後(1日2時間)
ホワイトニングをオススメしたい方
・もっと歯を白く綺麗にしたい方
・もっと若々しい歯の色を取り戻したい方
・なるべく削らないで歯を白くしたい方
・ご結婚の予定がある方
・接客業や営業職の方
ホワイトニングをオススメできない方(禁忌症)
・歯の形成期における薬などの影響により変色した歯
・金属材料の影響による変色
・妊娠中・授乳中の女性
・無カタラーゼ症の方
■ホワイトニングの注意点
- ホワイトニングの効果には個人差があり、すぐに真っ白になる人もいれば、なかなか白くならない人もいます。何回もホワイトニングを繰り返していれば少しずつですが白くなっていきます。
- 「被せもの」や「詰めもの」、人工歯、神経のない歯にはホワイトニングの効果はありません。歯の治療後にホワイトニングをすると、天然の歯だけが白くなり治療した部分は「色違い」となって目立ってしまいます。特に前歯の治療をされる方で「今より白くしたい」と思われる方は、治療と同時のホワイトニングをオススメします。
- ホワイトニング効果の持続期間はその人の生活環境(歯みがき、食生活など)にもよりますが通常半年~1年程度です。歯の色の「後戻り」が起こるためです。これを防ぐためには、定期的にホワイトニングをし続ける必要があります。何回も繰り返していれば、「後戻り」を軽減することができます。
■歯が白くなるメカニズム

●歯が変色した状態
歯の内部に色素が多い。お茶、コーヒーなどの色素が歯の内部まで着色します。
↓

●ホワイトニングによる色素の分解
ホワイトニングジェルに配合された過酸化尿素には、歯を痛めず染み込みながら内部の色素を分解する力があります。
↓
■ご自宅で「ホームホワイトニング」
ホワイトニングにはホームホワイトニングとオフィスホワイトニングがあります。当医院ではホームホワイトニングによる治療を行っています。
ホームホワイトニングは、歯科医院で製作したトレーとホワイトニングジェルを持ち帰り、ご自宅で行うホワイトニングです。ホワイトニングジェルを注入したマウストレーを1日に約2時間装着し、この処置を約2週間継続してホワイトニングを行います。
ホームホワイトニングのステップ

診査・診断。
ホワイトニング前の色調を確認し、白くなる目標を確認します。 ホワイトニングの効果を高めるために歯面のクリーニングを行います。(左)次に、患者さんに合わせたマウストレーを作製するために印象(歯型)を採り(印象)、歯科医院にてマウストレーを作製します。
完成したマウストレー(左)とホームホワイトニング材「ティオン ホーム」(右)をご自宅に持ち帰ります。((4)へ) ホワイトニングジェルをマウストレーに注入します。1歯あたり米粒2つ分くらいの量を注入します。
鏡を見ながらマウストレーを装着します。 ホワイトニングジェルがマウストレーからはみ出している場合はティッシュなどを用い、拭き取ります。
※装着している間に歯や歯肉が痛くなったり、しみたりした場合には使用を中止し、ぬるま湯で十分に洗口し、歯科医師にご相談ください。
2時間経過したらマウストレーを外し、十分にブラッシングを行います。マウストレーは十分に水洗・乾燥し、トレーケースに入れ保管します。 ホームホワイトニングを行い2週間後、ホワイトニング効果の経過確認を行いますので歯科医師に指示された日に来院します。
歯科医院で行うこと/
ご自宅で行うこと
■失活歯漂白
通常、失活歯(神経を抜いた歯)にはホワイトニングの効果はありません。失活歯を白くするためには、「漂白」を行う必要があります。当医院でも漂白することができます。詳しくはスタッフにお尋ねください。
漂白の症例(上顎前歯部(中切歯))
漂白前

漂白後

■治療費について
ホームホワイトニング
ホワイトニングトレー ¥16,500(税込)
※上下をホワイトニングする場合は、¥33,000(税込)
ホワイトニングジェルの追加購入 ¥5,500(税込)
※ホワイトニングジェルは約2週間分の容量です。
失活歯漂白
1歯 ¥22,000(税込)








(別ウィンドウ)









