矯正
矯正治療とは?
歯の矯正治療とは、一般的に歯並びの不正を治す治療のことをいい、「機能」と「審美」を回復・改善します。
1.機能
歯並びが悪いと、上の歯と下の歯が正しく接触せずに噛み合わせが悪くなり、咀嚼能力・嚥下能力・発音能力が低下してしまいます。うまく噛めないことで食べ物の消化も悪くなり、内臓に負担をかけることもあります。また、歯磨きなどの清掃も難しいものになり、歯周病を誘発しやすくなり、全身疾患を引き起こすことにもなります。よく噛むことは唾液の分泌を促進し、内臓での消化を助けることにつながります。
2.審美
特に前歯の歯並びがよくない場合、人前で歯を見せることを嫌がり、無口になってしまったり、口元が気になって思いっきり笑えなかったりします。きれいな歯を見せることができると、コンプレックスを感じることなく精神的に安心し、対人関係がうまくいったり、自分の魅力を伝えたりすることもできます。また、歯の位置は顔貌にも大きく関わっていますので、歯の矯正により顔貌を回復させることができます。
矯正治療では、患者さん個々の歯並びや噛み合わせ・お口の中の状態と治療への希望などを総合的に診査・診断した後、治療のゴールや治療法が選択されます。また、使用する装置が少ないケースほど治療費も安くなります。
矯正治療の流れ
1.初診相談
患者さんの希望をお聞きしながら矯正治療の進め方や費用などについてご説明します。
2.診査・診断
治療のために必要な資料を作ります。
顔貌の写真
正面、側面、および斜め45°からの顔貌の写真を撮影します。スマイル状態の正面写真、お口元の拡大写真も必要です。矯正治療終了後には撮影できませんので、慎重に適切な撮影を実施します。なお、撮影には最新のカメラ(アイスペシャル2)を使用しています。
口腔内写真
口腔内写真も必要となります。図は5枚法といわれるもので、正面像、左右側面像、上顎咬合面像、 下顎咬合面の計5枚を撮影したものです。必要に応じて、9枚法の撮影を行うこともあります。
CT撮影
加藤歯科医院では最新のCT撮影機器・3D画像データ解析システムを導入し、小矯正治療時に活用しています。
A)CT画像

撮影したCTデータを編集し、セファロを表示したり、特定部位を拡大・着色したりすることができ、これらの情報をもとに診断を行います。
B)3D画像データ解析

撮影した3D画像データに矯正治療に特化した加工をします。矯正に必要な基準点をポイントすることで、顔のラインや2点間の距離および2線の角度などを計測し、精密な情報を取得します。また、顔貌を貼り付けた3D像や抜歯・矯正による歯牙の除去・移動のシミュレーション、矯正後の顔貌予測なども行えます。
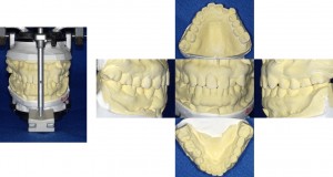
歯の模型
コンサルティング用に印象を採得し、歯の模型を作製します。お口の中を奥まで再現することで、歯列全体を確認することができます。また、矯正治療後の歯並びをシミュレーションするために、セットアップ模型も作製します。これにより、術前・術後でどのように改善されるかを確認しながら患者さんにより分かりやすくお伝えすることができます。

術 前

セットアップ模型
3.治療計画のご提案
●診断に基づいた治療の計画をご提案します。
●治療を進める意思を確認して、書類(同意書や契約書など)を作成します。
4.治療の開始(装置の装着)
治療のために必要な処置をします。
矯正装置を装着し、歯を動かしていきます。
5.状態のチェック
その後は、1ヶ月に1度、矯正の進行状況やむし歯や歯周病などのチェックのために通院します。
6.治療の終了(装置の撤去)
歯並びがキレイになったところで、矯正装置を撤去します。
7.保定
後戻りを防ぐ装置を一定期間はめて完成した歯列を維持していきます。
8.リコール
矯正の後戻りがないかなどをチェックします。
矯正治療の種類
●一般矯正
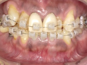
■固定式装置
ブラケットと呼ばれる固定式装置を歯の表面に付けてワイヤーを通し、その力で歯を動かす方式です。ブラケットには、金属のものと白いセラミックのものがあり、セラミックのほうが目立ちません。

T21
加藤歯科医院ではT21を導入しました。
メリット
1. 審美性に優れています。
2. キャップをセットしたブラケット表面は平滑に仕上げることにより、口内炎の発生を可及的に抑制します。さらに口唇や頬粘膜が以前より違和感なく動かすことができるようになるため、自浄作用の向上が期待できます。
3. プラークコントロールがしやすい装置です。
4. 矯正痛が軽減されます。
5. 顎関節症の症状が起こりにくい装置です。
6. 保定時に安定しやすくなります。
7. 顎位が治療前、治療中、治療後で安定しています。
●床矯正
通常の矯正は、余分な歯を抜いてスペースを作ったり、ワイヤーなどを使って歯を整列させたりする治療ですが、床矯正は発育途中にある子どものあごの骨を正常に発育させ、歯を抜かずに自然に美しい歯列に整える矯正治療です。治療費用も通常の矯正よりも安く、歯を抜かずに矯正できることが最大のメリットです。
※床矯正については、「小児歯科」に詳しく掲載してあります。
⇒床矯正についてもっと知りたい方はこちら
■取り外し式装置
幼児期、学童期における取り外し式の床装置を用いた矯正方法です。歯を抜くことなく矯正することが可能です。床装置には、ネジありのものとネジなしのものがあります。

■固定式装置と取り外し式装置を併用することもできます。

上顎前突反対咬合叢 生開 咬 上顎前突反対咬合叢 生開 咬
●小矯正(部分矯正)
矯正治療を治療対象となる歯列範囲で分類すると、全顎矯正と小矯正に分けることができます。小矯正は部分矯正、限局矯正(LOT)やMTM(Minor Tooth Movement)と呼ばれることもあります。全顎矯正(MOT)とは、全ての歯に矯正装置を付けて行う矯正治療のことです。一方、小矯正とは、歯列全体を矯正するのではなく、数本の歯だけを動かす矯正法です。歯が1本だけ飛び出ている場合や、奥歯が倒れてしまってインプラントやブリッジが出来ないような場合など、様々な場面で小矯正が適用されます。全顎矯正と比較すると動かす歯の本数が少ないため、簡単に思われるかもしれません。しかし、矯正治療では「動かす」よりも「動かさない」ことのほうが難しいのです。つまり、全顎矯正より小矯正のほうが治療難易度は高くなります。小矯正には、歯を引っ張り出す牽引、斜めになった歯を引き起こすアップライト、歯を押し込む圧下などがあります。診査・診断にてどの治療方法を適用するかを決定します。
●インプラント小矯正
小矯正の中には、インプラントを用いた治療もあります。あごの骨に矯正用の小型インプラントを埋め込み、歯を動かす力をかけるときに固定源として利用します。一般のワイヤーなどを用いた小矯正では、固定源を他の歯に設定しなければならず、動かしたくない歯も動いてしまい、矯正の調整が大変難しいものでした。しかし、インプラント小矯正では、固定源となる歯を必要としないため、動かしたくない歯を反作用で動かしてしまうことがありません。インプラントを埋め込むため、外科手術が必要となります。
自医院で現在行っている小型インプラント小矯正
1.臼歯 scissors’ bite
2.前歯・臼歯の圧下
3.単純なアップライト
4.固定源になる歯牙の固定
●マウスピース矯正
矯正治療方法のひとつとして、マウスピース型装置による矯正治療があります。自分の歯列に合わせた専用トレー(マウスピース状の型)をはめ、徐々に歯列をずらして矯正していく方法です。マウスピース矯正は、目立ちにくく、簡便であり、取り外しができるため、自由度の高い矯正法です。しかしながら、比較的値段が高く、正確な位置移動が難しいというデメリットもあります。
マウスピース矯正で効果が出にくい症例
・傾いている歯を移動すること
・歯を大きく回転すること
・歯を引っ張り出すこと
加藤歯科医院でも、マウスピース矯正「インビザライン」を導入しました。
2015年9月現在、全世界で340万人を超える患者さんがインビザライン治療をしています。
■インビザラインとは?
マウスピース型の矯正装置「アライナー」を使って歯並びを矯正する方法です。
装着していても周囲から気づかれにくいため、矯正治療中の見た目によるストレスがありません。
■歯牙移動のしくみ

すべてのステージにおいて、アライナーは実際の歯列との間に計画的に不適合(ミスマッチ)が生じるように作成されています。
アライナーを装着することで、それぞれのミスマッチにより歯列に力が加わります。その力を利用して望ましい位置に歯を移動させます。
- 素材:厚さ0.033インチ(約0.75mm)のポリウレタン製
- カスタムメイド
- 1日20時間以上、約2週間ごとに装着
- 1つのアライナーで最大0.25mm移動
(または2.0°(トルクについては1.0°))
■インビザライン治療のメリット
- 審美性に優れている(見た目がよい)
- 取り外しができるため、お口の中を清潔に保ちやすい
(ブラッシングしやすい) - 食事しやすい
- 擦過傷が起きにくい
- 痛みが少ない
- 金属アレルギーを起こさない
- 被蓋が妨げになって装置がつけられないということがない
- ひとりひとりにカスタマイズされているため、快適な付け心地
- 受診ペースが4~6週間であり、生体にやさしい治療
(治療状況によって受診間隔は変わってきます) - 患者さんひとりひとりにあった治療計画を作成
- 3Dソフトウェアによって、歯牙移動の状態と期待される最終位置を視覚化
■インビザライン治療のデメリット
- 患者さんの協力に完全に依存する
(装着しなければ矯正効果がない) - 矯正力の調整ができないので、装着期間の調整が必要になる
- 咬合面(噛む面)を覆っていることにより、予定になく圧下されることがある
■インビザラインシステムの流れ
1.資料準備(当医院)



2.印象発送・データ提出(当医院)


3.印象CTスキャン・治療計画作成(アライン社)

4.治療計画確認・承認(当医院)
※3.4.を繰り返し、患者さんに適した治療計画を立てます。
5.アライナー製造(アライン社)
6.アライナー発送(アライン社)

7.アライナー到着(当医院)


8.治療開始(当医院)

■アライナーの取り扱い方
- 1日20~22時間装着してください。
- 飲食時(水以外)と歯磨きの時は取り外してください。
アライナーは着色物質が付きやすく、ガムはくっつきます。 - 装着時以外は、アライナーケースに入れて保管してください。
- 約2週間ごとに交換してください。
最大限の快適性と効果を得るため、新しいアライナーへの交換は就寝時に行ってください。 - 古いアライナーは破棄しないでください。
- アライナーの適合が悪い場合、次のステージに進まないでください。
適合が最も良いアライナーを装着し、当医院までご連絡ください。
■お渡しするもの

アライナー(1~3個)
- チャック付きの袋に入れてお渡しします。
- 来院ごとに使用状況、お口の中を確認し、新しいアライナーをお渡しします。

アライナーケース(2個)
- 自宅で保管用のケース
- 出先で取り外し用のケース
■困ったときは・・・?
治療開始時、アライナーがとてもきつく、取り外し困難な場合
- 装着を続ければ、徐々に緩和されてきます。
- 縁が尖って痛みがある時はやすりなどで少し削ってください。
- 着脱がきつい場合は、イージーリフトという器具を使って取り外しできます。

![]()
アライナーの紛失、破損
- 可能であれば次のステージへ進むか、もしくは1ステージ前のアライナーを装着し、当医院にご連絡ください。
参考書籍
- 顔貌・口唇および機能との調和を求めた審美修復技工の実際
- 歯科技工2014.8





















