診療室
| Q1 | 加藤歯科医院おすすめ!アスタキサンチン配合サプリメント |
|---|
| A1 |
アスタリールACT
アスタキサンチンを高配合(1日あたり12mg)し、さらにスーパービタミンEといわれるパーム椰子由来の希少成分トコトリエノールと安定型ビタミンCを配合した、毎日の健康を維持するためのサポートサプリメントです。長年のアスタキサンチン研究を生かし、医療機関向けに開発されたものです。 脂溶性の天然アスタキサンチンとトコトリノール、水溶性のビタミンCをバランスよく配合し幅広く健康をサポートします。 ※アスタリールACTは、健康補助食品です。
トコトリエノール 「トコトリエノール」はスーパービタミンEと呼ばれています。パーム油由来の希少な成分です。
安定型ビタミンC 安定型ビタミンCは「アスコルビン酸グルコシド」とも呼ばれています。
詳しくはスタッフまでお声かけ下さい。
アスタリズムアスタキサンチン配合スキンケアベース美容液 「アスタリズム」は、アスタキサンチンを贅沢に配合した、お肌の調子を整えて健康に導くエッセンスです。年齢、性別、肌質、悩みの種類を問わず、どなたでもお使いいただけます。 肌への親和性を高める技術で、角質層の奥までの浸透を実現しました。
使用法 アスタリズムは、現在のお手入れの『土台』となる“スキンケアベース”美容液ですので、洗顔後、直のお肌にお使いください。(その後いつものお手入れをお続けください)
詳しくはスタッフまでお声かけ下さい。 |
|---|
| Q2 | 加藤歯科医院おすすめ!高濃度水素サプリメント 「遵」 |
|---|
| A2 |
![]()
1.美白効果一般の美白(抗酸化)剤に対して最大12倍以上の抗酸化力を発揮 2.体内脂肪効果約90%脂肪滴(セルライト発生原因)を抑制。脂肪燃焼を促進・減少 3.抗シワ効果約235%のコラーゲン存在量増加 抗シワ剤レチノール比139% 4.細胞生存効果活性酸素による細胞死を約69.5%抑制 細胞死を防御する生体防御効果を発揮 水素水500mlのペットボトル1本と比較すると、60本分の水素を摂取できます。 (1日3カプセルによる目安)
詳しくはスタッフまでお声かけ下さい。
※高濃度水素サプリメント「遵」は、健康補助食品です。
|
|---|
| Q3 | 歯面清掃用装置 エアフローマスターピエゾン |
|---|
| A3 |
しつこい汚れもしっかりお掃除 『エアフローマスターピエゾン』この様な方にオススメします
|
|---|
| Q4 | 超音波電動歯ブラシ「フィリップス ソニッケアー」 |
|---|
| A4 |
加藤歯科医院では、
■矯正治療中の方
■インプラントをされた方
■セラミックを入れた方
■ホワイトニングをされた方
■歯周病に罹患している方
などに電動歯ブラシ「ソニッケアー」をオススメしています。
ブラシ・液体流動力により、歯面だけでなく毛先の届きにくい歯間部・歯周ポケット内のプラークを除去します。 ・手磨きの約50%のブラシ圧!少ないブラシ圧で十分な効果が得られますので、歯と歯ぐきにやさしい設計です。 ・より白い歯に!約1週間で、手磨きよりきれいで自然な白い歯になります。(個人差あり) 他の電動歯ブラシと音波ブラシの違いって何?振動ではなく、音波水流で歯の隙間の歯垢まで落とします!この技術はソニッケアーだけ!食器洗浄機のように高圧水流で汚れを落とすイメージです。
どんな効果があるの?1.唾液の分泌を促進高齢者・ドライマウスの患者さんへ 2.歯肉に対してマッサージ効果あり矯正・歯周病の患者さんへ 3.歯牙・歯肉に対してやさしいブラッシング圧の強い患者さんへ 過圧防止センサー・・・ハンドルに振動でお知らせ 4.毛先から4~5ミリ先のプラーク除去(液体流動力効果)インプラント・矯正の患者さんへ 食器洗浄機のように唾液で汚れを落とします。 5.ステイン除去・付着防止喫煙者、ホワイトニングの患者さんへ 6.簡単に効率よく磨けるお酒を飲んだ後もお手軽にブラッシング 斜め45度でゴシゴシとこすらず1ヵ所約4秒軽く当ててすべらせる様にブラシを移動させます。 どんな機能があるの?2種類のソニッケアーからお選びいただけます。 フレックスケアー プラチナ プロフェッショナル(17,900円 税込)3種類のブラッシングモードと3段階の強さ設定があります。9通りの組み合わせから自分好みにご使用いただけます。また過圧防止センサーがついておりますので、強く当てすぎてもハンドルに振動で伝えて、歯と歯ぐきをやさしくブラッシングすることができます。 ヘルシーホワイトプロフェッショナル(9,500円 税込)圧力センサー機能がついてなく、また、使えるモードはプラチナより少ないですが、価格を抑えて利用しやすいメリットがあります。電動歯ブラシを始めてみようかなと思う方には最適です。 口腔内状況やニーズによって選べるブラシブラシはテーラーメイドで、歯科医師・歯科衛生士が患者さんのお口の中の状況を確認し、最適なブラシを選択します。 1.インターケア
2.ダイアモンドクリーン
3.センシティブ
4.アダプティブクリーン
歯科医院ならではのアフターサービス
1. 30日間返金保証あり2. 2年間保証つき3. 歯科衛生士によるテーラーメイドとケア指導
詳しくはスタッフまでお声かけ下さい。 |
|---|
| Q5 | セラミック修復物自動製作システム CEREC AC / BlueCAM(セレック) |
|---|
| A5 | CEREC ACとは
BlueCAM とは
CEREC ACとBlueCAMでできることCEREC ACとBlueCAMの導入で正確な測定と多数の情報の処理ができるようになったため、今までに比べ、より患者様にマッチしたインレーやクラウンを作成することが可能になりました。
CEREC AC で治療するメリットセレックとCAD/CAM冠 共通メリット
セレックだけのメリット
CEREC ACで用いるブロックについてセレックでは、カメラで撮影した画像を元に、詰め物・被せ物をパソコン上で設計します。その設計したデータを元に、セットしたブロックを機械が自動的に削り出します。 当院では、セレックのブロックにオールセラミックのもの、CAD/CAM冠のブロックにハイブリッドセラミックのものを使用しています。オールセラミックは、全体が陶材で出来ていて、 非常に見た目が良いのが特徴です。 オールセラミックのブロックには様々な種類があり、 主に当院ではより天然の歯牙に近い透明感をもつ『IPSエンプレスCADブロック』を使用しております。 その他にも、『セレックブロック』、『ビタインセラムブロック』、 『e-maxブロック』など、約100種類のブロックがあり、 患者様一人一人に合った色のブロックを選択しています。
診療内容「セレック」(CEREC ACを使った治療)はこちら Q&A |
|---|
| Q6 | インプラント安定性測定器 オステルISQアナライザ |
|---|
| A6 | より安全なインプラント治療のためにより美しい歯を求める患者さんの希望に応え、インプラント治療はかなり身近なものとなりました。また、治療技術の進歩によって治療リスクが軽減されたことで、さらに多くの患者さんがインプラントに関心を抱かれています。 この度、加藤歯科医院では「インプラント安定性測定器 オステル ISQ アナライザ」を導入しました。これにより、インプラント体と骨の結合度を測定し、数値データで表すことができるようになりました。数値データから十分な結合状態と判断できれば次の治療ステップに移ります。インプラント体と骨の結合状態は目に見えるものではなく、また、結合速度は患者さんによりそれぞれ違うため、これまでは歯科医師の経験・感性により判断されるというものが一般的でした。しかしながら、オステルにより客観的な安定性を数値で評価できるようになりました。 ![]() オステルISQアナライザの特徴1.「非接触」で測定可能インプラント体やアバットメントに器具を直接接触させずに測定できますので、余分な衝撃を与えることはありません。 2.治療のリスクを早期に発見ISQ値をもとにインプラント荷重時期の計画を立てることができます。破折やクラウンの作り直しなどを予見し、リスク・無駄を回避することが可能となり、患者さんにかかる治療負荷を軽減することができます。 3.柔軟な治療方針が可能初期段階から測定できるため、早期から充分な安定指数が計測された場合は、早期荷重をかける目安になります。また、測定されたデータは保存されますので、荷重時に埋め込み時のISQ値と比較することで、治療を進行させるかどうかを決定する指標となります。 ISQ値とインプラント体安定性の相関の目安
|
|---|
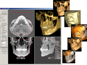
| Q7 | X線撮影CT機器「Kavo 3D eXam」とデジタル化 |
|---|
| A7 |
当医院では、2014年3月からCT機器「Kavo 3D eXam」を導入しました。 CTの有用性CTを使ってレントゲン撮影をすることにより、肉眼では確認が難しい歯の重なり具合や歯肉縁下の様相、骨・神経・顎・腫瘍の状態などを把握することができます。より適切な診断・治療をするために必要となってきます。 当医院では以下についてCTを用いた診断を実施しています。 (1) 大人の矯正治療(症例によっては小児の矯正でも撮影することがあります)
(2) 気道の状態確認(3) 再生療法(4) インプラント治療
(5) 顎関節症(6) 歯内療法
(※他、診断に必要と判断した場合にはCT撮影を行います) 参考 保険診療で算定されるもの
デジタル化
3D解析CTで撮影したデータをもとに、専用のソフトを使ってさらに詳しい3D画像で解析します。
3D画像では、画像を様々な角度から確認することができます。専用ソフトを使って必要な部分を着色したり、連続的な断面画像を確認したり通常では把握できない口腔状態を確認できます。 アナログとデジタルの放射線量比較アナログ方式からデジタル方式に変わり、放射線被爆量が軽減され、より安全に治療することが可能となりました。
放射線量が 価格の比較<CT機器導入前>レントゲン撮影 13,000円 (税抜) 関門医療センターで撮影 画像解析 18,000円 (税抜) 画像解析会社に依頼 <CT機器導入後>レントゲン撮影・画像解析 10,000円 (税抜) 参考 保険診療で算定されるもの(1) 埋伏した親知らず・下顎管との位置関係 CTを用いた診断料インプラント 40,000円 (税抜) 矯正 50,000円 (税抜) Q&A |
|---|
| Q8 | 下顎運動記録装置 ディグマ |
|---|
| A8 |
ディグマディグマとは超音波測定によるデジタル式顎運動計測装置です。矯正や修復物装着前後の咬合診断、または顎関節症の診断などに使用します。
測定の際には、患者様は右図のようにセンサーが装備されたヘッドフレームを装着します。患者様への負担を軽減するよう、軽量でフレームの重量配分も考慮されて設計されています。 当院では下記のような患者様の診療・診断に活用しています。
ディグマの解析機能・データと他機器を合わせた診断・治療も可能です。 1.プロター(咬合器)ディグマで測定した数値(角度)をプロター(咬合器)に設定することで、上顎歯列を基準とした下顎歯列の動きを正確に咬合器上で再現します。患者様の噛み合わせを再現する装置です。
2.EMG(筋電計)筋繊維の活動電位(筋電図)を測定・解析し、咀嚼運動を確認することができます。例えば、入れ歯を新調したあとに実施することで、適切な噛み合わせができているかなどのチェックに用います。データはリアルタイムで記録・視覚化されます。
エイブ咬合器
咬合状態を模型上で再現するために、エイブ咬合器を使用し、入れ歯の噛み合わせの確認をしています。 |
|---|
| Q9 | デジタル口腔撮影装置(カメラ) アイスペシャル2 |
|---|
| A9 |
口腔内写真は、診査診断の材料となる口腔内の変化を示す写真資料です。 加藤歯科医院では一定条件を保ち、鮮明度のある口腔内写真を撮影することに適した株式会社松風の「アイスペシャル C-Ⅱ」を使用しております。朝の定例ミーティングの時間を使い、スタッフは写真撮影のトレーニングを実践し、撮影の技術力向上にも努めております。 カメラの特徴1.ピント固定が簡単2.軽量でコンパクト3.様々な撮影モード診療メニューに応じて、様々なモードから最適なものを選択することで、精度のよい診療を目指しています。患者さまにもわかりやすく説明することが可能になりました。 一般診療(矯正など)
色合わせ
4.オートトリミング機能(自動サイズ補正)治療前後、経過観察などは一定条件化で数回にわたり撮影しなければなりません。
参考書籍
|
|---|
| Q10 | 滅菌器 |
|---|
| A10 |
当院では診療器具(タービン、はさみ、スケーラー、手術着など)をオートクレープ(高圧蒸気)で滅菌処理し、ウイルスや細菌の感染を予防しています。患者さまに安心して治療を受けていただけるように万全の対策に取り組んでいます。 除菌、殺菌、滅菌の違いって?似たような単語ですが、それぞれ違うことを意味しています。 以上のことから分かるように、微生物にとって最も強力なものは「滅菌」なのです。 滅菌の現状2012年7月3日付けの日本歯科新聞に掲載されましたが、
多くの歯科医院がありますが、患者さまごとに滅菌しているのは全体の31.4%しかありません。 滅菌器の種類滅菌する対象物によって、滅菌器のクラスが分かれます。 ■クラスB(Big)チャンバー内の残留空気を抜き真空状態を作りながら、飽和蒸気を浸透させる(3回)というダブルコントロールシステムを採用する滅菌器。この高度な機能により、耐熱性のあらゆる被滅菌物を確実に滅菌することが可能。 ■クラスS(Specific)メーカーが特定し、文書化した製品に対して高度な滅菌が可能な滅菌器。
■クラスN(Naked)非包装の固形物のみを滅菌するシンプルな滅菌器
当医院では、使用用途に応じて最適な滅菌処理を実施するために、様々な滅菌器を備えています。 1. DAC PROFESSIONALあらゆる被滅菌物を確実に滅菌するクラスB滅菌器 小型高圧蒸気滅菌器のヨーロッパ基準EN13060のクラスB規格をクリアーするシロナの「DACプロフェッショナル」は、医科用大型滅菌器の規格を満たした上で歯科用に小型化した高度なオートクレープです。 滅菌前と滅菌後の乾燥時にチャンバー内を真空状態とすることにより、通常のオートクレープでは困難な中空のもの(インプラント用インスツルメント、ハンドピース等)や多孔性のもの(ドレープ、ガーゼ等)を安全、確実に滅菌します。 2. OS・クレーブ80小型(全自動)高圧蒸気滅菌器 一度に多くの診療器具(コップ、はさみ、ピンセット等)を滅菌するときに使用しています。 3. ステリマスター超スピードを誇る高圧蒸気滅菌器 ステリマスターによる滅菌は最短6分で仕上がります。(通常の高圧蒸気滅菌器ですと乾燥時間も含めまして約30分かかります。)一度に大量の器具を滅菌することはできませんが、患者さまと患者さまの間のわずかな時間を利用して確実に、安全にそしてすばやく滅菌します。 4. ケアプラス3ハンドピースの自動洗浄・注油に エアー回路、注水回路、チップエアー回路ともすべての回路を洗浄・注油・エアーブローします。 コントラアングルは、ギアを回転させながら確実に洗浄、注油を行います。 |
|---|

























当院では2014年10月に、セラミック治療において厚生省 高度先端医療技術指定の最新技術CEREC 3をCEREC ACにグレードアップしました。
CEREC ACと同時にBlueCAMと呼ばれる光学印象採得用カメラも導入しました。






























ピントを合わせるの高度な技術が必要となりますが、自動で合わせることができますので、撮影しなおしの可能性を減らすことができます。
女性でも片手で操作可能な軽量、コンパクトサイズです。




















