ラミネートべニア
ラミネートベニア法とは
歯の表面を最小限削り、そこへセラミックで作った薄いシェルを接着して、歯の色や形を理想的に変える審美治療です。
変色歯の表面を白くするために生まれた方法ですが、近年は接着技術の進歩により、セラミックが強力に接着するようになったため、適応症が広がり、欠けた歯やむし歯治療に伴う審美治療などにも使われるようになっています。
歯を削る量が少なく、審美的な効果が高いため、ことに健康な歯の審美治療の際、歯質をより保存できる方法として注目されています。
![]() |
![]() |
![]() |
ラミネートベニアはこんな方にオススメです
- 歯をあまり削らずに白くしたい
- 短期間に歯並び、歯の大きさ、歯の形を治したい方
- ホワイトニングでは治せない歯の変色を治したい方
ラミネートベニアのメリット・デメリット
メリット
- 短期間の処置で歯を白く、また形を整えることができる
- ホワイトニングよりも白くすることができる
- ホワイトニングと違って治療後の変色がない
- 治療に痛みを伴うことがほとんどない
- 遺伝的に歯の色が濃い方でも白くすることができる
デメリット
- 取り外すことができない
- 薄くではあるが自分の歯を削る必要がある
- 保険が適用されない
- ホワイトニングと比較すると高コスト
- 歯ぎしりや受け口、咬み合わせが強い方や、歯に大きく負担のかかるスポーツなど、場合によってセラミックの板が欠ける場合がある
ラミネートべニア治療の症例
前歯部2番矮小歯
治療前


治療後

ラミネートベニアの素材
セラミックで作った歯科材料(ポーセレン)が多く使われています。ポーセレンは硬度、ツヤ、光の透過度などの点で、現在、もっとも天然のエナメル質に近いとされるすぐれものの素材です。接着しやすく、生体にもやさしいため、ラミネートベニアの素材の代表格でもあり、審美治療には欠かせない存在です。治療後の強度を保つためには、0.5ミリ~0.7ミリの厚さが必要です。その厚さ分、歯質を削ることが必要となります。
治療のステップ
![]() |
患者さんのお口を型取りし、それをもとにラミネートベニア装着後の型(デザインワックス)を作製します。 |
![]() |
シリコンでデザインワックスの型を取ります。これが治療やラミネートベニア製作の精密なガイドになります。 |
![]() |
シリコンの型を使って簡易ベニアを作製します。 |
![]() |
実際に歯を削る前にお口の中に簡易ベニアを装着してみます。患者さんのご要望を満たしていれば具体的な治療に入ります。 |
![]() |
歯を削って形成します。シリコンの型を使って、削る量を正確にコントロールします。このあとすぐに削ったところをコーティングする場合もあります。 |
![]() |
仮ベニアを作り装着します。最終のラミネートベニアの仕上がりイメージや、噛み合わせなど装着感の確認をし、歯科技工士が最終ベニアを製作します。 |
![]() |
セラミックの最終ラミネートベニアができあがりました。 |
![]() |
接着力を上げるため、セラミックの接着面をすりガラスのようにガサガサに加工して洗浄します。 |
![]() |
接着力を上げるためにさらに表面処理を行います。 |
![]() |
処理の終わった接着面に、接着材料を何層か塗ります。 |
![]() |
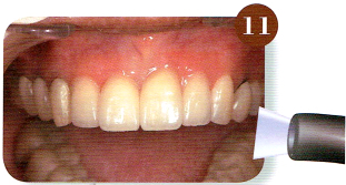
装着して、特殊な光を照射し、歯としっかり接着させます。 |
![]() |
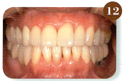
治療終了!適正に装着されたラミネートベニアは、より丈夫で長持ちし術後経過も良好です。 |































