下関で一般歯科(保険治療・自由診療)、インプラント、審美歯科をお探しなら加藤歯科へ 。

山口県下関市の歯医者さん 加藤歯科医院

083-231-1182

受付時間(日曜・祝日定休)
午前9:00~ 午後6:30
木曜・土曜:午後1:00まで

  • TOP
  • 加藤歯科について
    • 加藤歯科について
    • 加藤歯科の
      7つの強み
    • 加藤歯科の
      こだわり
    • 院長プロフィール
    • チーム構成
    • アクセス
    • スタッフ募集
    • リンク
  • 診察内容
    • 診療内容一覧
    • 自由診療料金表
    • 歯内療法
    • 義歯(入れ歯)
    • 小児歯科
    • 歯周治療
    • インプラント
    • 審美
    • 矯正
    • 顎関節症
  • Q&A
  • アクセス
  • 無料メール相談
  • TOPICS
    • 加藤歯科の
      設備機器
    • コラム
    • ダウンロード
    • 加藤歯科ブログ
    • 下関観光ガイド
    • 年賀状
      暑中お見舞い

implant_fig

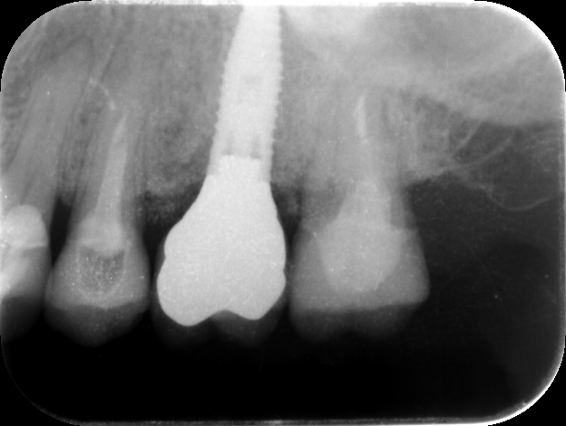
2019年10月21日 624 × 470 歯が折れて抜かないといけないのですが、その後入れるものをブリッジかインプラントかで悩んでいます。前後の歯は問題ないと言われましたが、どうでしょうか?
1歯症例の補綴症例(インプラント)
次の画像

お探しの情報は何ですか?

  • 無料メール相談 歯の悩みならおまかせ下さい
  • 歯の質問Q&A
  • 求人情報
  • 下関観光ガイド
  • 加藤歯科ブログを見る
  • 年賀状・暑中見舞い
  • facebookページを見る

オススメ情報ランキング

  • 歯が舌にあたって痛いんです。どんなことに気をつけたらいいですか? 122件のビュー
  • 片噛み癖(偏咀嚼癖)は顔にどんな影響を与えるのですか? 111件のビュー
  • 舌の清掃方法を教えてください。 54件のビュー
  • ステロイド薬を使っていますが、歯科治療はできますか? 39件のビュー
  • 骨粗しょう症の薬を飲んでいますが、歯科治療にどんな影響があるのですか? 29件のビュー

医院情報

医院写真

〒750-0016
山口県下関市細江町1-3-2
TEL 083-231-1182
E-mail info@kato.or.jp

アクセスマップ

受付時間(日曜・祝日定休)
平日/午前9:00~ 午後6:30
木曜・土曜/午後1:00まで

加藤歯科について

  • 加藤歯科の7つの強み
  • 加藤歯科のこだわり
  • 院長プロフィール
  • チーム構成
  • アクセス
  • スタッフ募集
  • リンク

診療内容

  • 自由診療料金表
  • 歯内療法
  • 義歯(入れ歯)
  • 小児歯科
  • 歯周治療
  • インプラント
  • 審美
  • 矯正
  • 顎関節症

Q&A

加藤歯科の設備機器

コラム

ダウンロード

加藤歯科ブログ

下関観光ガイド

年賀状・暑中お見舞い

無料メール相談

  • プライバシーポリシー

サイトマップ

Copyright © Kato Dental Clinic. All Right Reserved.

閉じる

印刷範囲の設定

        

関連記事

  • Q&A私は糖尿病ですが、インプラントをしても大丈夫?
  • 2016年審美歯科セミナー
  • 2019年歯内療法セミナー

このページを見た人は以下のページも見ています

  • Q&A「インレー」ってなんですか?
  • 加藤歯科について8月休診日情報
  • Q&A歯周病と全身疾患はお互いに影響するのでしょうか?