薬で治す歯周病 顕微鏡検査のすすめ
「歯周病が薬で治る!?」
歯周病治療といえば昔から歯磨き指導と歯石を除去したりする歯のまわりのお掃除がどの歯科医院でもされている基本的な治療です。
しかし、この基本的治療をしても、一生懸命歯磨きしても、なかなか歯肉の炎症が取れず、歯肉の腫れや出血・口臭で悩まされ、歯周病で歯を失う方がおられることも事実です。
ところが、簡単に薬で治す方法がみつかったのです。
原因である菌を特定し、薬でその菌を退治する事ができるようになったのです。
この治療法は21世紀に入ってから行なわれている方法で最新式の治療方法「顕微鏡を使った歯周内科治療」です。
「歯周内科学」とは
歯科界の新しい分野「歯周内科学」。これまでとまったく異なったあたらしい考え方。
お薬で歯周病を治してしまう治療の総称です。
歯科における2大疾患といえば、「むし歯」と「歯周病」。
これは現在の歯科医療においては、感染症であるという結論になっています。
- では、なぜ感染症なのに治らないのでしょうか。
- 医科において一般的な感染症は風邪です。一般的な風邪であれば医師の指示に従ってきちんと薬を飲めば、
ほとんどの場合、治ってしまいます。 - では、歯周病も同じように治らないのでしょうか。
- 現在の歯周病治療は外科的処置が主流です。しかし、それは歯科医師が特殊な技術を持ち、患者さんも歯磨きがうまくできるという厳しい条件下でないと、良い結果が生まれないのです。
どんな条件下においても同じ方法で、簡単に良い結果が生まれる方法はないものかと、多くの歯科医師が知恵を出し合った結果生まれたのが、薬で歯周病を治す歯周内科という治療法なのです。
歯周内科治療の治療方法
この治療方法は4つの大きなポイントがあります。
- 位相差顕微鏡での菌の確認
- 細菌の除去薬剤の内服
- カビの除去薬剤あるいはカビとり歯磨き剤での歯磨き
- 除菌後の歯石とり
特に1は、非常に大きなポイントです。位相差顕微鏡でお口の中の菌を確認しなくてはなりません。
歯周病菌がいるのか、カビが多いのか、あるいは非常にきれいなのか。
位相差顕微鏡で確認しないと、お薬の選択ができないのです。
![]() |
細菌の除去薬剤 | ![]() |
カビの除去薬剤およびカビとり歯磨き剤 (いろいろな種類があります。) |
![]() |
![]() |
細菌の除去薬剤 |
カビの除去薬剤およびカビとり歯磨き剤 (いろいろな種類があります。) |
どうやって歯周病は進行するのでしょうか
![]() | |||
1.カビが歯ぐきについて根を下ろし炎症を起こします。
|
![]() |
1.カビが歯ぐきについて根を下ろし炎症を起こします。
|
![]() | |||
| 2.炎症によって歯ぐきが腫れ、歯と歯ぐきの間の溝が汚れやすくなり、 カビがさらに奥で炎症を起こします。
|
![]() |
2.炎症によって歯ぐきが腫れ、歯と歯ぐきの間の溝が汚れやすくなり、 カビがさらに奥で炎症を起こします。
|
![]() | ||||
| 3.歯と歯ぐきの間にポケットができます。歯周ポケットといいます。 ここに歯周病菌がたまり、炎症がひどくなり、骨が溶けていきます。
|
![]() |
3.歯と歯ぐきの間にポケットができます。歯周ポケットといいます。 ここに歯周病菌がたまり、炎症がひどくなり、骨が溶けていきます。
|
![]() | ||
4.歯周ポケットはさらに深くなり、よりたくさんの菌がたまってきます。
|
![]() |
4.歯周ポケットはさらに深くなり、よりたくさんの菌がたまってきます。
|
![]() | |||||||
| 5.骨はさらに溶け歯周ポケットはさらに深くなり、 さらに多くの菌がたまっていきます。
|
![]() |
5.骨はさらに溶け歯周ポケットはさらに深くなり、 さらに多くの菌がたまっていきます。
|
![]() | ||||
| 6.最後には歯の周りに骨がなくなってしまい、グラグラになり、 抜かないといけなくなります。
|
![]() |
6.最後には歯の周りに骨がなくなってしまい、グラグラになり、 抜かないといけなくなります。
|
感染経路
生まれたときには人のお口の中には歯周病菌は存在しません。
しかし、もともといない歯周病菌がなぜ今お口の中にいるかというと、人からうつされているのです。
いまも、家族の間でうつしあっている状態にあるかもしてません。
回し飲みや回し食い、箸の使いまわし、キス、くしゃみなどが感染ルートとしてあげられます。
菌が再びお口の中に入ってくると、お口の中で定着して歯周病を発症する可能性が出てくる
ということになります。
特に危険なのは性感染です。せっかく歯周病を治してもパートナーからうつされたのでは意味がありません。
パートナーの方と同時に治療なさることをおすすめします。
再発を予防するには
カビ菌は口腔常在菌といって、お口の中に必ず住み着いている菌です。
徹底的にやっつけても、空気中や食べ物や手の指などから再びお口に戻ってきます。
全滅させることは不可能なのです。
ですから毎日の歯磨きと歯科医院における定期的なプロフェッショナルクリーニングが大切です。
カビ菌が増えすぎると歯ぐきが腫れるなど、悪い影響が出てきます。
また、カビ菌は歯周病菌の快適な住みかにもなりますので歯周病菌が再感染しやすくなります。
定期的に歯科医院に通って、歯周病菌が再感染していないか、カビ菌が増えすぎていないか、
顕微鏡で確認しカビ菌が増えすぎないように専用の器具を用いてクリーニングを行なう必要があります。
| 義歯 | 義歯を使っている方は、義歯にもかなりカビが付きます。 義歯の清掃もこれから非常に重要になってきます。 |
|---|
| むし歯 | カビは歯周病にだけ関与しているわけではありません。カビはお口の中で酸を出すことがわかってきていますので、その周りに歯があれば歯を溶かし、むし歯を作ってしまうのです。 |
|---|
| タバコ | 今回使う薬は白血球が運んでくれる薬なので、たばこを吸うと歯ぐきの血管が収縮し、白血球が減少し、薬の効きが悪くなります。 また、タバコは歯周病になりやすく、歯周病が治りにくいことがわかっています。 |
|---|
全身疾患との関係
歯が全身疾患に大きく関与しているのが医科でも問題になってきています。
カビが肺に入れば肺炎になってしまいます。歯周病菌も、わずかでもお口の中で出血を起こすとそこから血管に菌が入ってしまい、心臓で炎症を起こすのです。
歯周病の人が心臓病になる確率は2~3倍にあがります。
ほかにも食道癌、糖尿病、早産、高血圧などにも関与しています。
1週間後の自覚症状の変化 (患者さん1000人アンケート)
自覚症状の強い方ほど1週間後の変化を大きく実感します。
たった1週間で他にも・・・
- 噛んだときの痛み改善 79%
- 歯ぐきの腫れ改善 77%
- はぐきのグラグラ改善 66%
- 歯のしみる感じ改善 65%
などなど・・・
このような症状の改善が期待できます。
顕微鏡とくすりによる治療
治療前の自覚症状 - 45歳の男性
「歯周病といわれました。歯がグラグラして、噛むと痛いです。時々歯ぐきが腫れます。口臭もあります。」


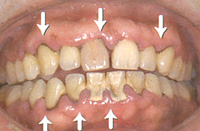
初診の菌の状態です。
カビ、歯周病菌が
多数見られます。
1週間後の非常にきれいになった菌の状態です。本来いるべき正常な菌は残っています。
| 自覚症状の変化 | 1週間で口臭、ネバネバ感が消失。出血なし。 |
|---|---|
| 1週間後の感想 | 「気になっていた口の匂いがなくなりました。歯ぐきが引き締まった感じです。噛んだときの違和感もなくなりました。」 |
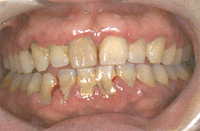
![]() 初診時・治療開始日 |
| 歯ぐきの痛み、出血、腫れが見られます。 「最近痛くて歯が磨けないです。」 |
![]() 初診時・治療開始日 |
歯ぐきの痛み、出血、腫れが見られます。 「最近痛くて歯が磨けないです。」 |
![]() 治療開始1週間後 |
| 腫れも引いてきており、出血もしなくなりました。歯石が見えてきています 「3日目から出血しなくなりました。」 |
![]() 治療開始1週間後 |
腫れも引いてきており、出血もしなくなりました。歯石が見えてきています 「3日目から出血しなくなりました。」 |
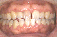
![]() 治療開始3週間後 |
| 腫れもなくなり、歯ぐきの色もきれいなピンク色になりました。 「すごく気持ちいいです。」 |
![]() 治療開始3週間後 |
腫れもなくなり、歯ぐきの色もきれいなピンク色になりました。 「すごく気持ちいいです。」 |



























